
ჩინეთში, ადგილობრივმა მედიკოსებმა კორონავირუსით დაავადებული ადამიანის ფილტვების ამსახველი ფოტოები გაასაჯაროვეს, რომელიც 33 წლის ქალბატონს ეკუთვნის. დაინფიცირებულ ადამიანზე ჩატარებული ტომოგრაფიის მერე, ასეთი სურათი გამოიკვეთა.
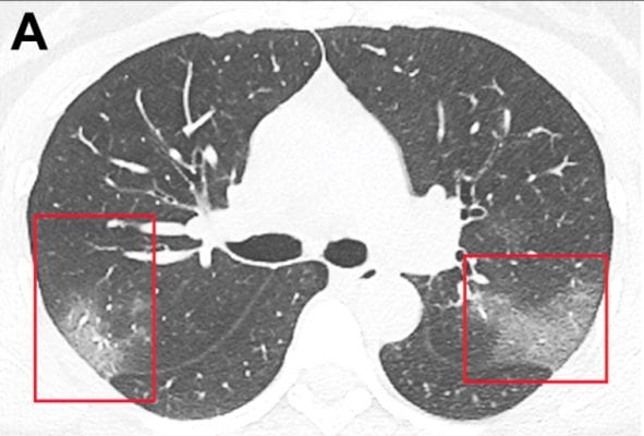
A ფოტოზე ნაჩვენებია ფილტვების მდგომარეობა, როდესაც პაციენტს კორონავირუსი დაუდგინდა. ამ დროს 33 წლის ქალბატონს მაღალი ტემპერატურა და ფილტვების შეშუპება აღენიშნებოდა.
B სურათზე კი ნაჩვენებია პაციენტის მდგომარეობა სამდღიანი მკურნალობის შემდეგ. ამ დროს ქალბატონის ფილტვებში დაზიანებული მონაკვეთის არეალი გაზრდილია.
უცხოურ მედიაში გავრცელებული ინფორმაციით, 33 წლის ქალი უხანში მუშაობდა, სადაც ინფექციამ იფეთქა, ამის შემდეგ კი ჩინეთის სხვა რეგიონში, კერძოდ, ქალაქ ლანჯოუში ჩავიდა და 6 დღის შემდეგ საავადმყოფოს მიმართა.
ბოლო მონაცემებით, ჩინეთში კორონავირუსით გარდაცვლილთა რაოდენობა 304-მდე, ხოლო დაინფიცირებულთა 14 570-მდე გაიზარდა. ეპიდემიის გამო, დღემდე ჩინეთის მიმართულებით სხვადასხვა ქვეყნიდან 10,000-მდე ავიარეისი გაუქმდა.






















